Nha khoa Chi Nguyên

 

Địa chỉ nha khoa uy tín hàng đầu Biên Hòa-Đồng Nai

Chuyên răng sứ thẩm mỹ, cấy ghép phục hình Implant, chỉnh nha chuyên sâu

Giảm 30% cho các dịch vụ răng sứ thẩm mỹ chính hãng và nhiều ưu đãi đang chờ đón quý khách hàng

Chương trình trả góp 0% lãi xuất áp dụng cho nhiều dịch vụ khác nhau

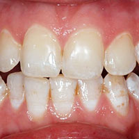
Khi nào bạn cần bọc răng sứ

Nụ cười – thước đo cảm xúc, thước đo của sự tự tin, nhưng một nụ cười với nhiều khuyết điểm lại làm bạn mất tự nhiên khi giao tiếp, bỏ lỡ nhiều mối quan hệ, ảnh hưởng đến cơ hội thành công, thậm chí gây cản trở vận mệnh phú quý khi xét theo nhân tướng học (khoa học Phương Đông).

Những nhược điểm về răng miệng bao lâu nay đã khiến bạn giấu đi nụ cười của mình.
Với phương pháp bọc răng sứ hiện đại, nhẹ nhàng của nha khoa Chi Nguyên sẽ khiến bạn thoát khỏi những nỗi lo sau:

Các ảnh hưởng khi không bọc răng sứ đúng cách

Công nghệ bọc răng sứ trước đây tiềm ẩn nhiều biến chứng nguy hiểm và không thể phục hồi do yêu cầu phải mài đến 80% răng gốc khiến tủy bị tổn thương nghiêm trọng. Các biến chứng thường gặp có thể kể đến:

  • Đau buốt, ê nhức triền miên do tủy bị tổn thương
  • Đen viền, hôi miệng
  • Viêm lợi hoại tử chân răng do vùng sứ kim loại và chất gắn hóa học
  • Sứ chế tác không chính xác, sứ yếu do được đắp bằng tay từ bột sứ thông thường
  • Và nhiều ảnh hưởng nghiêm trọng tới sức khỏe răng miệng khác…

Tại nha khoa Chi Nguyên chúng tôi áp dụng công nghệ bọc răng sứ an toàn nhất, hiện đại nhất (không mài nhỏ, không lấy tủy) để mang đến cho khách hàng nụ cười đẹp hoàn mỹ và đảm bảo tối đa sức khỏe khách hàng.

Cam kết của Nha khoa Chi Nguyên

Tại Nha khoa Chi Nguyên, chúng tôi cam kết cung cấp cho Quý Khách hàng những dịch vụ nha khoa chất lượng cao nhất với mức giá hợp lý nhất. Chúng tôi sử dụng các thiết bị và công nghệ tiên tiến nhất để đảm bảo quy trình điều trị được thực hiện một cách hiệu quả và an toàn nhất.:

  • 1. KHÔNG MÀI NHỎ
  • 2. KHÔNG ĐAU BUỐT
  • 3. KHÔNG HÔI MIỆNG
  • 4. KHÔNG VIÊM LỢI
  • 5. KHÔNG ĐIỀU TRỊ TỦY

Chúng tôi cam kết cung cấp dịch vụ nha khoa chất lượng cao với mức giá hợp lý, sử dụng công nghệ tiên tiến và đội ngũ tận tâm để mang lại sự hài lòng cho khách hàng. Bọc răng sứ tại Nha Khoa Chi Nguyên sẽ giúp bạn:

  • Cải thiện sức nhai
  • Răng bạn trông sẽ vô cùng đẹp
  • Loại bỏ khoảng cách
  • Giúp tiết kiệm chi phí điều trị nha khoa
  • Tránh các vấn đề nha khoa khác

Tại sao bạn nên bọc răng sứ tại Chi Nguyên

Bọc răng sứ thẩm mỹ tại Chi Nguyên

Bọc răng sứ thẩm mỹ là một phương pháp phục hình răng hiệu quả để cải thiện ngoại hình răng của bạn. Tại Nha khoa Chi Nguyên, chúng tôi sử dụng công nghệ và vật liệu tiên tiến nhất để tạo ra các bọc răng sứ có độ bền cao, màu sắc tự nhiên và thẩm mỹ cao.

Sau Khi bọc răng sứ thẩm mỹ tại Chi Nguyên

Sau quá trình bọc răng sứ, bạn sẽ có một nụ cười mới tuyệt đẹp và tự tin hơn. Bạn cũng cần thực hiện chăm sóc răng miệng định kỳ để bọc răng sứ có thể kéo dài thời gian sử dụng và giữ được thẩm mỹ lâu dài. Cuối cùng, bác sĩ sẽ đặt bọc răng sứ lên răng của bạn và sử dụng chất kết dính để giữ chặt bọc răng sứ vào răng. Sau đó, bạn sẽ có một nụ cười mới tuyệt đẹp và tự tin hơn.

Quy trình bọc răng sứ tại Chi Nguyên

Nha khoa tiêu chuẩn Châu Âu – Kiến tạo nụ cười mới cho bạn để luôn tự tin tỏa sáng

Khám và tư vấn

Vệ sinh & gây tê

Mài cùi răng

Lấy dấu răng

Thiết kế răng sứ

Lắp răng sứ

TRANG THIẾT BỊ NHA KHOa Chi Nguyên

Đạt tiêu chuẩn chất lượng và nhập khẩu trực tiếp từ Châu Âu, công nghệ mới nhất

Trang thiết bị và dụng cụ y tế đã qua quy trình kiểm định nghiêm nghặt, đạt chuẩn quốc tế và hiệp hội nha khoa Việt Nam

Hình ảnh và nhận xét của khách hàng

Đã thực hiện các dịch vụ tại Nha Khoa Chi Nguyên

Vợ cứ bảo tôi đi bọc răng sứ nhưng mình ngần ngại, tự nhiên bọc răng làm gì? dù không tin nhưng tôi cũng thử, làm răng xong thì đây đúng là quyết định sáng suốt của tôi. Tuyệt vời.

Mình hút thuốc nhiều năm, gây vàng và ố răng, làm ảnh hưởng nhiều sự tự tin khi giao tiếp làm việc – mình làm nhân viên bán hàng trực tiếp, rất cần nụ cười tươi sáng. Nha khoa Chi Nguyên đã đem đến cho mình giải pháp tốt, thực sự tốt để cải thiện hàm răng hỏng của mình. Thanks.

Tôi bị hỏng răng cửa do một tai nạn không mong muốn, việc tìm giải pháp thay thế răng làm tôi rất khổ sở. Qua việc sửa và bọc răng sứ răng cửa cho tôi, Chi Nguyên đã mang lại cho tôi sự tự tin ngày xưa, giúp tôi tiếp tục công việc lãnh đạo Kinh doanh công ty. Cảm ơn.

May quá, tôi thích làm răng sứ lâu rồi nhưng may được biết đến Nha khoa Chi Nguyên Cứ tưởng đau lắm nhưng khi làm thì thấy cũng bình thường. Thẩm mỹ hàm răng giúp tôi tự tin hơn rất nhiều trong công việc và cuộc sống hàng ngày. Xin cảm ơn.

Hiệu quả bọc răng sứ khiến tôi bất ngờ, hàm răng đều và se khít hơn. Lúc đầu tôi cũng nghi ngại khi đi bọc răng, nhưng sau khi hoàn thành thì thực sự quá bất ngờ, cảm giác ăn uống rất chắc chắn và hàm răng nhìn đẹp hơn xưa, giúp tôi tự tin hơn hẳn.

Thẩm mỹ hàm răng là điều chị chưa từng nghĩ tới, nhưng do thời gian và men răng yếu, mình đã hỏng răng cửa. Qua tư vấn tôi đã được Chi Nguyên thực hiện bọc răng sứ và kết quả thật mỹ mãn. Giờ đây, tôi thực sự tự tin và an tâm với hàm răng giả sứ của mình (cười…)

răng tôi bị ố vàng do nhiễm kháng sinh làm tôi khá tự tin. may mắn nhờ có người bạn đã từng làm răng tại Nha Khoa Chi Nguyên giới thiệu biết đến phương pháp bọc răng sứ để cải thiện nụ cười. Làm răng xong tôi phải thốt lên rằng đây đúng là quyết định sáng suốt của tôi. Cảm ơn Nha Khoa Chi Nguyên rất nhiều vì đã thiết kế cho tôi 1 nụ cười đẹp như bây giờ

Tôi bị hỏng răng cửa do một tai nạn không mong muốn, việc tìm giải pháp thay thế răng làm tôi rất khổ sở. Qua việc sửa và bọc răng sứ răng cửa cho tôi, Chi Nguyên đã mang lại cho tôi sự tự tin ngày xưa, giúp tôi tiếp tục công việc lãnh đạo Kinh doanh công ty. Cảm ơn.

Mình hút thuốc nhiều năm, gây vàng và ố răng, làm ảnh hưởng nhiều sự tự tin khi giao tiếp làm việc – mình làm nhân viên bán hàng trực tiếp, rất cần nụ cười tươi sáng. Nha khoa Chi Nguyên đã đem đến cho mình giải pháp tốt, thực sự tốt để cải thiện hàm răng hỏng của mình. Thanks.

Nhận ngay ưu đãi 30% + Quà tặng lớn
Mừng khai trương cơ sở bọc răng mới tại Đồng Nai

Tư vấn, giải đáp thắc mắc

Mọi nhu cầu tư vấn, giải đáp thắc mắc, vui lòng liên hệ với chúng tôi để được hỗ trợ tận tình:

0908.022.556

Số hotline phục vụ 24/7. Đặt lịch khám & Tư vấn thẩm mỹ răng các ngày/tuần

Giờ mở cửa

  • Thứ 2 – Thứ 7:       8:00 – 20:00                 
  • Chủ nhật:                8:00 – 18:00

Đặt lịch khám ngay hôm nay

Vui lòng nhập đầy đủ thông tin để gửi mail, và nhân viên tư vấn sẽ điện lại ngay cho bạn sau ít phút